圆梦大阅兵!谷威院长精湛医术点亮八旬老人视觉星空
“您就是视觉宇宙的航天员!在您的帮助下,我高高兴兴去观看了大阅兵!” 近日,一封情真意切的感谢信送到了北京爱尔英智眼科医院谷威院长手中。信的作者是 80 岁的王女士,字里行间满是重获清晰视力后的激动与喜悦,而这一切,都离不开谷威院长精湛的医术。

(王女士为谷院长送来感谢信)
多重眼疾缠身,八旬老人生活受困
80 岁的王女士已经被高度近视困扰 60 余载,五年前,因双眼白内障和左眼视网膜脱离、黄斑劈裂、后巩膜葡萄肿等眼病到北京爱尔英智眼科医院就诊。针对王女士复杂的眼部情况,谷威院长制定了精准的治疗方案,先后为她实施了双眼白内障手术,以及左眼玻切手术、黄斑前膜剥除、视网膜复位等一系列眼底治疗。术后,王女士左眼视力得到了有效恢复并一直维持稳定,这让她重新看到了生活的希望。
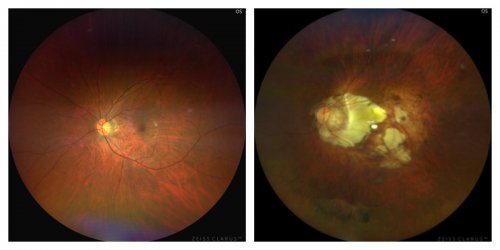
今年,王女士右眼视力明显下降,严重影响生活,带着对谷威院长的信任,她再次到北京爱尔英智眼科医院就诊。经详细检查发现,王女士右眼出现了黄斑裂孔、视网膜劈裂症、后巩膜葡萄肿等新的眼部问题,眼部情况十分复杂。
谷威院长再施精妙手术,老人如愿见证阅兵现场
面对王女士棘手的右眼病情,谷威院长凭借丰富的临床经验和扎实的专业功底,迅速制定了针对性的治疗方案。随后,她为老人实施了右眼玻切手术、黄斑裂孔修复、黄斑前膜剥除等一系列精湛手术。术后,王女士右眼视力明显提升,眼部状况也逐渐稳定。

(谷威院长手术照片)
更让老人欣喜的是,视力恢复后,她如愿以偿地观看了 “9・3 大阅兵”。对于术前日常视物都困难的她而言,能现场清晰见证祖国“科技强国生动画卷”,无疑是天大的惊喜,也正因如此,她在感谢信中动情地将谷威院长称作 “眼科的宇航员、航天员”,称赞谷院长如同航天英雄探索宇宙般,在眼科领域不断突破,为无数患者点亮了 “视觉星空”。

(王女士右眼术前术后影像对比)
高度近视暗藏眼底隐患 早检查早干预很关键
在临床诊疗中,谷威院长常接触到像王女士这样受高度近视相关眼病困扰的患者。她形象地解释:“王女士的复杂眼病,主要源于高度近视并发症。她的高度近视多年未得到及时干预,若把眼球比作气球,高度近视者的眼球就像被持续吹大、不断变薄的气球,时刻面临‘破裂’的风险。”
谷威院长进一步提醒,随着近视度数不断加深,眼轴拉长,让视网膜被过度拉长,视网膜、脉络膜会逐渐变薄,进而可能发展为视网膜裂孔、视网膜脱落、黄斑病变等严重眼底病变,不仅会导致视力明显下降,严重时还可能引发失明。

(正常眼底与高度近视患者眼底对比)
为更好地帮助高度近视患者应对眼部风险,谷威院长持续探索改良手术治疗方案。在后巩膜加固术的临床应用中,手术材料的选择尤为关键,北京爱尔英智眼科医院采用的异体巩膜,是目前该手术的最佳材料,术后无排异反应。
“除了材料,植入位置同样关键。”谷威院长强调。基于多年手术经验与对眼部结构的深入研究,她对后巩膜加固术进行了技术优化:巧妙借助下斜肌止端与眼底关键结构 “黄斑” 的邻近关系实现精准定位,在显微镜直视下将异体巩膜片准确植入眼球后部,既能完整保护并加固眼球后极部,更进一步提升了手术的安全性与有效性,为更多高度近视患者筑牢光明防线。
从为八旬老人驱散眼疾阴霾,到不断钻研改良手术技术,谷威院长始终以显微手术为笔,在眼科领域默默耕耘,用精湛的医术和温暖的关怀,为一位又一位患者绘就着清晰的光明蓝图,书写着属于眼科医生的责任与担当。

